【2023年3月3日 10:46 PM更新】
新潟市西区の歯医者、松田歯科医院の院長 松田拓己(歯科医)です。
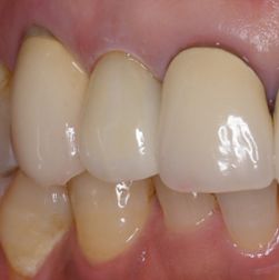
右上2番のかぶせ物が変色したため再治療を希望されて、新潟市中央区から来院されたHさんです。
右上の糸切り歯~左上の糸切り歯まで6本の歯にメタルボンドが装着されていますが、治療後10年以上経過して歯茎が下がり金属が露出して歯茎との境目が黒くなってきています。
特に黒ずみが目立つ右上2番をオールセラミック・クラウンで再治療することになりました。
歯科技工士さんに歯の色・形態等の情報をお送りしてイボクラール社のe.maxプレスでオールセラミック・クラウンを作製していただきました。
隣のメタルボンドに比べて、歯茎との境目が自然に仕上がっています。
装着にはイボクラール社のマルチリンク・オートミックスを使用しました。
Hさんにも十分にご満足いただけたので、左右の1番、左上2,3番の計4本もオールセラミックで再治療することになりました。
Hさんの下顎の歯は磨り減りが進んでおり、歯軋り等で前歯に強く力がかかっていることが懸念されました。
特に強い力のかかる1番と3番には強度の高い美麗ジルコニアを使用し、左上2番には右上2番と同様にe.maxプレスを用いました。
Hさんは左右の1番を現状よりやや小さめにすることを希望されましたので、形態を工夫して作製してもらいました。
オールセラミックの中でも、e.maxプレスと美麗ジルコニアという種類の異なる素材を用いていますが、歯科技工士さんの技術が高いので自然な見た目に仕上がっています。
【治療期間】3ヶ月 【治療回数】8回 【費用】561000円
《美麗ジルコニア》のご説明
◎治療内容 「白い金属」と呼ばれる丈夫なジルコニアに歯に近い色のセラミックを焼き付けて、自然な見た目のかぶせものを作ります。
コンピュータ上で設計したとおりに専用の機械で削りだしますので、高い精度で安定しています。
型取りが必要なので、通院は二回以上かかります。
◎費用 一歯につき121000円です。
◎副作用 金属は使用しないので、アレルギー等の報告は確認されていません。
◎リスク 極度の衝撃で割れることがあります。
《e.maxプレス》のご説明
◎治療内容:金属を使用せずにセラミックのみで詰め物や被せ物を作ります。
型取りが必要になります。
◎費用:1歯につき99000円となります。
◎副作用:人体にはほぼ無害です。
◎リスク:強い衝撃で欠けることがあります。
歯科医師 松田拓己
(西区の歯医者、歯科医|松田歯科医院 院長)
〒950-2022 新潟県新潟市西区小針 7-5−13
電話 025-234-1112
前へ:短時間で正確に歯の型取りをしたい(新潟市西区の歯医者、歯科医|松田歯科医院)
次へ:歯を治療する際に麻酔薬を使い分ける必要があるのでしょうか?
【西区 歯医者 歯科医】の関連記事
2024年11月1日
歯ブラシを当てたときにツーンとしたら(西区の歯医者、歯科医|松田歯科医院)2024年9月16日
着色した歯をシーラントでむし歯予防(西区の歯医者、歯科医|松田歯科医院)2024年4月29日
優しいハミガキの仕方は?(西区の歯医者、歯科医|松田歯科医院)2024年3月21日
あと少しデンタルケアを足せば後々の結果につながる(西区の歯医者、歯科医|松田歯科医院)ブログ記事メニュー
- 臨時休診のお知らせ(西区の歯医者、歯科医|松田歯科医院)
- 歯ブラシを当てたときにツーンとしたら(西区の歯医者、歯科医|松田歯科医院)
- 施設基準等についてのご案内(西区の歯医者、歯科医|松田歯科医院)
- 子供の歯並びと食事の関係-歯科衛生士Kからのアドバイス(西区の歯医者、歯科医|松田歯科医院)
- 着色した歯をシーラントでむし歯予防(西区の歯医者、歯科医|松田歯科医院)
- 優しいハミガキの仕方は?(西区の歯医者、歯科医|松田歯科医院)
- あと少しデンタルケアを足せば後々の結果につながる(西区の歯医者、歯科医|松田歯科医院)
- 子どもと一緒に歯みがきしようとすると(西区の歯医者、歯科医|松田歯科医院)
- 歯を白くきれいにしたい(西区の歯医者、歯科医|松田歯科医院)
- 80歳になるまでに20本残したいなぁ(西区の歯医者、歯科医|松田歯科医院)





