【2023年3月4日 8:26 AM更新】

薬でホワイトスポットを目立たなくする「アイコン」
新潟市西区の歯医者、松田歯科医院の院長 松田拓己(歯科医)です。
歯の表面の白い斑点が目立って気になり、口を開けて笑えない。
鏡を見ると前歯に視線が行ってしまう。
このような歯のコンプレックスを引き起こすチョークで描いたような白い斑点(シミ)はホワイトスポットと呼ばれます。
※治療には「アイコン」という薬剤を使用しています(株式会社 ヨシダ)。
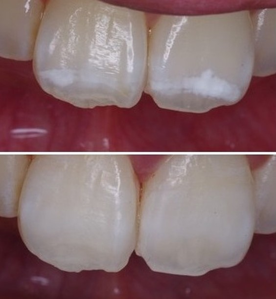
【通院回数】1回 【費用】79200円(アイコン治療2歯、税込)
《アイコン》のご説明
◎治療内容
・歯を削らずにホワイトスポットを目立たなくします。
・むし歯予防の効果がある材料なので歯を痛める心配がありません。
・治療は1時間前後で終了します。
◎費用:1本の歯で39600円(税込)ですので、2本の場合は79200円となります。
◎副作用:まれにアレルギーを持つ方がいらっしゃいます。
◎リスク:吸水性があるので着色することがあります。
ホワイトスポットが深い、または茶色の着色はホワイトニングの併用が必要となる場合があります。
薬剤のみで対応しますので、効果に個人差があります。
歯の表面を溶かす薬を使用しますので、ホワイトスポットがある歯以外には付着しないように配慮する必要があります。
当院での施術は高校生以上に限らせていただきます。
![]()
![]()
![]()

歯のホワイトスポットができる原因
実は、ホワイトスポットができる原因は2つあるのです。
むし歯が進行すると黒い穴になりますが、初期の段階では白い斑点に見える場合が多いのです。
歯が白濁するのは光の乱反射が原因になります。
むし歯は細菌が作る酸で歯の表面が溶かされて進行するのです。
健康な歯の表面は滑らかで硬く透明なのですが、酸で溶けると小さな凸凹がたくさんできて透明度が下がります。
身近な例では、すりガラスの表面のようにザラザラになるわけです。

表面がザラザラになった歯は輝きを失って白っぽくなります。
なので、初期むし歯は白い斑点に見えますが、内部まで進行して着色すると黒い穴になるのです。
そのため、むし歯が表面にとどまっている間にザラザラな部分を平らに戻せれば、滑らかさと透明度が復活しますので白濁は改善できます。
ちょうど、すりガラスの表面を水で濡らしたりセロハンテープを貼ると透明に戻るのに似ていますね。
エナメル質形成不全は歯の表面を覆っているエナメル質の結晶が不揃いになるために起こります。
結晶が不揃いになる理由は、歯が身体の中で作られている際にトラブルが起きて結晶を作る細胞の働きが邪魔されたためです。
細胞の働きを邪魔するのは、発熱などの体調不良、ケガ、栄養不足、細菌感染、薬の影響などが考えられます。
これらの悪条件がなくなれば再び正常なエナメル質が作られますが、結晶が不揃いな部分にはすき間が残ってしまうのです。
ちょうど、ガラスの中に空気が封じ込められたようになります。
![]()
上の写真は空気の泡がたくさん入っている窓ガラスです。
ガラスも空気も透明なのに、泡の部分は白くみえますね。
このように白く見える理由は、ガラスと空気は光の屈折率が違うので光の反射が起きるためです。
水面に周りの景色が映るのと原理は同じなのですが、小さな泡がたくさんあるために乱反射が起きて白く濁ってしまいます。
ホワイトスポットができた歯のエナメル質の中には、とても小さなすき間が無数に存在しているので白い斑点のように見えるのです。
やっかいなことに、エナメル質形成不全は表面でなく内部にできる場合が多いので、初期むし歯のように表面をなめらかにすれば治るものではありません。
そのため、これまでは歯を削って詰めたり、かぶせ物を作るしか対応策がありませんでした。
でも、むし歯でないのに歯を削るのは気が進みませんし、歯の寿命を短くするリスクが高くなります。
最近、ドイツから輸入されるようになった「アイコン」は歯を削らずにホワイトスポットを目立たなくする効果のある薬剤として注目されています。
下の写真も、「アイコン」を使用してホワイトスポットを治療した歯です。
【通院回数】1回 【費用】79200円(アイコン治療2歯、税込)
《アイコン》のご説明
◎治療内容
・歯を削らずにホワイトスポットを目立たなくします。
・むし歯予防の効果がある材料なので歯を痛める心配がありません。
・治療は1時間程度で終了します。
◎費用:1本の歯で39600円(税込み)となります。
◎副作用:まれにアレルギーを持つ方がいらっしゃいます。
◎リスク:吸水性があるので着色することがあります。ホワイトスポットが深い、または茶色の着色はホワイトニングの併用が必要となる場合があります。
薬剤のみで対応しますので、効果に個人差があります。
歯の表面を溶かす薬を使用しますので、ホワイトスポットがある歯以外には付着しないように配慮する必要があります。
当院での施術は高校生以上に限らせていただきます。
歯科医師 松田拓己
前へ:前歯の白い模様が気になる(ホワイトスポット 新潟)
次へ:記念写真を撮る前に歯の白いシミと着色を治したい(ホワイトスポットの治療)
【歯 斑点 ホワイトスポット】の関連記事
2026年1月9日
ホワイトニングで歯の白い斑点が目立つ原因と治し方を解説(ホワイトスポット 新潟)2023年6月27日
歯が白くまだらになっていて(ホワイトスポット 新潟)2023年6月17日
歯の白い斑点が気になる(ホワイトスポットの治療)2023年4月29日
西区の松田歯科医院でホワイトスポットを治療できると聞いたので2023年4月23日
アイコンで歯のホワイトスポットを治すために新潟市西区の松田歯科医院に来ましたブログ記事メニュー
- ホワイトニングで歯の白い斑点が目立つ原因と治し方を解説(ホワイトスポット 新潟)
- 臨時休診のお知らせ(西区の歯医者、歯科医|松田歯科医院)
- 歯ブラシを当てたときにツーンとしたら(西区の歯医者、歯科医|松田歯科医院)
- 施設基準等についてのご案内(西区の歯医者、歯科医|松田歯科医院)
- 子供の歯並びと食事の関係-歯科衛生士Kからのアドバイス(西区の歯医者、歯科医|松田歯科医院)
- 着色した歯をシーラントでむし歯予防(西区の歯医者、歯科医|松田歯科医院)
- 優しいハミガキの仕方は?(西区の歯医者、歯科医|松田歯科医院)
- お肌のケアと歯のケアは同じ?西区の歯医者が教える「美と健康」のプロケア
- 子どもの歯みがきで悩んでます(西区の歯医者、歯科医|松田歯科医院)
- 歯を白くきれいにしたい(西区の歯医者、歯科医|松田歯科医院)






