【2026年1月9日 2:43 PM更新】

ホワイトニングをするとホワイトスポット(白い斑点)は逆効果?失敗しないための全知識
「歯を白くして、思いっきり笑いたい!」
そう思ってホワイトニングを検討しているのに、鏡を見るたびに気になる「前歯の白い斑点(ホワイトスポット)」。
実は、よかれと思って始めたホワイトニングが、逆にこの斑点を際立たせてしまうケースがあることをご存知でしょうか?
せっかくお金と時間をかけてホワイトニングをしても、斑点が目立ってしまっては「逆効果」に感じてしまいますよね。
この記事では、新潟市西区の歯医者|松田歯科医院の視点から、ホワイトスポットがある方がホワイトニングで失敗しないための正しい手順と、歯を削らずに斑点を消す新しい治療法について分かりやすく解説します。
読み終える頃には、あなたがどうすれば「ムラが目立たない、美しい白い歯」を手に入れられるか伝わると思います。
1. ホワイトニングで「歯の白い斑点」が目立ってしまう理由

「歯を白くすれば、白い斑点も馴染んで目立たなくなるのでは?」
そう期待してホワイトニングを検討される方は多いのですが、実は逆効果になってしまうケースが少なくありません。
なぜ、ホワイトニングをすることで、かえって斑点が浮き出て見えてしまうのでしょうか。
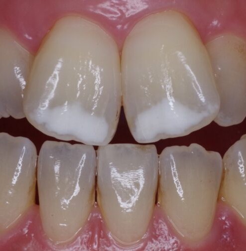
その理由は、歯の表面にある「ホワイトスポット」の特殊な構造にあります。
ホワイトスポットは「反応しすぎる」場所
ホワイトスポット(白い斑点)がある部分は、専門的には「脱灰(だっかい)」や「低石灰化」と呼ばれている状態です。
健康な歯の表面に比べて構造がスポンジのように粗く、スカスカな状態になっています。
(軽石にも近いですね)
ここにホワイトニング剤を塗布すると、薬剤が健康な部分よりも素早く、そして深く浸透してしまいます。
その結果、他の部分よりも先に、かつ強く白く反応してしまうのです。
「チョークのような白さ」と「透明感」のコントラスト
さらに目立ってしまう最大の原因は、「白さの質」の違いにあります。
-
健康な部分の白さ: 歯の内側から光が透けるような、「透明感のある自然な白さ」になります。
-
ホワイトスポットの白さ: 構造が粗いため光を乱反射し、「チョークのような、不自然にマットな白さ」になります。
(透明感がありません)
例えるなら、半透明のガラスの中に、真っ白なペンキを塗った部分があるような状態です。
歯全体が明るくなればなるほど、この「透明感のある白」と「チョークのような白」の境界線がくっきりと強調されてしまいます。
その結果、ホワイトニングをすると歯の白い斑点が以前よりも目立って見えてしまうのです。
これが、ホワイトニングだけでホワイトスポットを解決しようとする際のリスクです。
きれいな均一の白い歯を手に入れるには、この「白さの質の差」を埋めるための専用のケアが必要になります。
2.ホワイトスポットがあってもホワイトニングをする際の「注意点」
前歯に白い斑点があると、「歯を全体に白くしてしまえば隠れるはず」と考えがちです。
以前は、歯科医院でも「ホワイトニングをすればホワイトスポットが治る」と説明された時期がありました。
しかし、ホワイトニングの効果と限界を理解しないまま施術を行うと、がっかりする結果になりかねません。
特に、以下の点には十分に注意してください。
セルフホワイトニングや市販品では解決できない理由
最近ではSNSなどで手軽な「ホワイトニングテープ」や「高濃度をうたうホワイトニング歯磨き粉」が紹介されています。
しかし、これら市販の製品は、あくまで歯の表面の汚れを落としたり、全体を均一に漂白しようとしたりするものです。
残念ながら、ホワイトスポットという「歯の構造上のムラ」を改善する機能はありません。
むしろ、斑点以外の部分が中途半端に明るくなることで、ホワイトスポットとの色の差がかえって強調され、より目立つ結果を招くことがほとんどです。
「無理なホワイトニング」が歯の寿命を縮めるリスク
歯の白い斑点を消したい一心で、歯科医師の診断を受けずに強い薬剤を長時間使用したり、頻繁にホワイトニングを繰り返したりすることは絶対に避けてください。
ホワイトスポットがある部分は、すでに歯の表面(エナメル質)の密度が低くなっています。
そこに過度な刺激を与え続けると、以下のようなトラブルを引き起こす恐れがあります。
-
激しい知覚過敏: 薬剤が歯の内部に浸透しやすいため、強い痛みを感じる。
-
歯の表面の荒れ: 無理な漂白によりエナメル質がさらに脆くなり、かえって着色汚れがつきやすくなる。
-
むし歯の進行: ホワイトスポットはむし歯の初期段階であることも多いため、適切な処置なしに薬剤を塗ると症状を悪化させる。
大切なのは「隠す」ではなく「整える」こと
ホワイトスポットは、単なる「色の問題」ではなく「歯の構造の問題」です。
無理に白くして隠そうとするのではなく、まずは歯科医院で「なぜ白い斑点があるのか」について正しい診断を受けましょう。
そのうえで、歯の構造を整える治療を検討することが、理想の白い歯への一番の近道です。
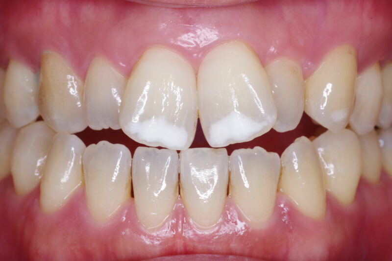
3. 削らずに白い斑点を消す最新治療「アイコン(Icon)」とは
これまで、歯の白い斑点(ホワイトスポット)を消すには、その部分を削ってプラスチック(レジン)を詰めたり、セラミックの被せ物(ラミネートベニヤ)をするのが一般的でした。
しかし、健康な歯を削るのは、歯の寿命を縮めるリスクがあります。
そのため新潟市西区の松田歯科医院で導入しているのが、歯を削らずにホワイトスポットを改善する治療「アイコン(Icon)」です。
![]()
歯を削らない・痛くない・1回で終わる治療の仕組み
アイコンは、ドイツで開発された低粘度の液状樹脂を用いた治療法です。
開発当初はむし歯予防が目的でした。
しかし、ホワイトスポットの改善にも効果が確認できたため、広く活用されるようになったのです。
従来の「削って埋める」治療とは異なり、歯に薬剤を塗ることでホワイトスポットを目立たなくします。
-
薬剤の浸透: 特殊な薬剤を斑点部分に塗布し、スカスカになった歯の内部(エナメル質の細孔)に樹脂を染み込ませます。
- 構造の強化: 樹脂が歯の内部で固まり、スポンジ状だった歯の構造が密になり、健康な状態に近づきます。
-
色の同化: 歯に浸透した樹脂が光の屈折率を健康なエナメル質に近づけるので、白く浮いていた斑点が周囲の色と自然に馴染んで目立たなくなります。
麻酔の必要もなく、ほとんどのケースでわずか1回の通院で治療が完了します。
![]()
アイコン治療とホワイトニング、どちらを先にやるべき?
理想の白い歯を手に入れたい方に、当院が推奨している「ゴールデンルール」があります。
それは、「先にホワイトニングを行い、その後にアイコン治療をする」という順番です。
-
ステップ1(ホワイトニング): まずは歯全体を希望の白さまで引き上げます。
この時、一時的にホワイトスポットが目立つようになりますが、アイコン治療で改善できます。 -
ステップ2(アイコン): 全体の白さが決まった状態でアイコン治療を行うことで、ホワイトニング後の白い歯の色に合わせて斑点を馴染ませることができます。
※斑点の状態によっては順番が前後したり、アイコンのみで十分な場合もあります。
当院では一人ひとりのお口の状態に合わせて、最適なプランをご提案しています。
4. 松田歯科医院(新潟市西区)でのホワイトスポット治療
新潟市西区の松田歯科医院では、これまで多くの患者様の「歯の白い斑点」に関するお悩みを解決してきました。
当院が「アイコン治療」において、地域の方々だけでなく遠方からも選ばれている理由をご紹介します。
新潟市西区の松田歯科医院が選ばれる理由
ホワイトスポット治療は、すべての歯科医院で行われているわけではありません。
特に「削らずに治すアイコン(Icon)」を導入し、多くの症例を積み重ねているクリニックは新潟県内でも限られています。
当院では、院長の松田拓己(歯科医師)が、患者さん一人ひとりの斑点の深さや原因を詳細に診断し、最適な治療プランをご提案してきました。
実際の治療の流れ
当院でのホワイトスポット治療は、リラックスした雰囲気の中で進められます。
-
丁寧なカウンセリング: まずはお悩みをお聞きし、ホワイトニングとの併用が必要か、アイコンのみで改善可能かなどをシミュレーションします。
-
痛みのない処置: 歯を削る必要がないため、麻酔は必要ありません。
処置中も痛みを感じることはほとんどありませんので、歯科治療が苦手な方もご安心ください。 -
その場で実感: 処置時間は歯一本につき1時間程度です。
治療が終わったその場で、鏡を見て「歯がきれいになっている!」と笑顔になられる患者様が多いのがこの治療の特徴です。
新潟市西区周辺だけでなく、広域からもご相談いただいています
当院は新潟市西区小針に位置し、高速道路からもアクセスしやすい場所にあります。
駐車場も完備しているため、新潟市はもちろん、長岡市や村上市、さらには山形県や福島県などからも「削らずに治したい」という熱意を持った患者様にご来院いただきました。
「長年のコンプレックスだった白い斑点が、たった1回で気にならなくなった」というお声が、私たちの最大の励みです。
5. まとめ:理想の白い歯を手に入れるための最短ルート
「ホワイトニングをしても、斑点が目立ってしまったらどうしよう……」 そんな不安を抱えていた方も、正しい知識と最新の治療法を知ることで、解決への道筋が見えてきたのではないでしょうか。
最後に、ムラのない均一な白い歯を手に入れるための最短ルートをおさらいします。
-
自己判断でホワイトニングを強行しない: まずは歯科医師にホワイトスポットの状態を診断してもらうことが、失敗を防ぐ第一歩です。
-
「ホワイトニング×アイコン」の組み合わせを検討する: 全体を白くしてから、削らない「アイコン治療」で斑点を馴染ませる。
これが、歯に優しい削らない治療の推奨ルートです。 -
実績のある歯科医院を選ぶ: アイコン治療は専門的な技術を要します。
症例経験が豊富なクリニックに相談しましょう。
新潟市西区の松田歯科医院で、コンプレックスを自信に変えませんか?
歯の白い斑点は、適切なケアで「削らずに」きれいに治せる時代です。
鏡を見るたびにため息をつく毎日は、もう終わりにしましょう。
当院では、患者様一人ひとりの「理想の白さ」を叶えるために、ホワイトニングとホワイトスポット治療の両面からサポートしています。
-
「私の歯もアイコンで治るのかな?」
-
「費用や期間を詳しく知りたい」
どんな小さな疑問でも構いません。
まずは一度、カウンセリングにお越しください。
新潟市西区小針の松田歯科医院にて、あなたにお会いできるのを楽しみにしています。
前へ:歯が白くまだらになっていて(ホワイトスポット 新潟)
次へ:
【歯 斑点 ホワイトスポット】の関連記事
2023年6月27日
歯が白くまだらになっていて(ホワイトスポット 新潟)2023年6月17日
歯の白い斑点が気になる(ホワイトスポットの治療)2023年4月29日
西区の松田歯科医院でホワイトスポットを治療できると聞いたので2023年4月23日
アイコンで歯のホワイトスポットを治すために新潟市西区の松田歯科医院に来ました2023年3月21日
前歯の白い斑点を消したい(ホワイトスポット 新潟)ブログ記事メニュー
- ホワイトニングで歯の白い斑点が目立つ?原因と最新の治し方を解説(ホワイトスポット 新潟)
- 臨時休診のお知らせ(西区の歯医者、歯科医|松田歯科医院)
- 歯ブラシを当てたときにツーンとしたら(西区の歯医者、歯科医|松田歯科医院)
- 施設基準等についてのご案内(西区の歯医者、歯科医|松田歯科医院)
- 子供の歯並びと食事の関係-歯科衛生士Kからのアドバイス(西区の歯医者、歯科医|松田歯科医院)
- 着色した歯をシーラントでむし歯予防(西区の歯医者、歯科医|松田歯科医院)
- 優しいハミガキの仕方は?(西区の歯医者、歯科医|松田歯科医院)
- お肌のケアと歯のケアは同じ?西区の歯医者が教える「美と健康」のプロケア
- 子どもの歯みがきで悩んでます(西区の歯医者、歯科医|松田歯科医院)
- 歯を白くきれいにしたい(西区の歯医者、歯科医|松田歯科医院)





