【2023年1月29日 6:13 AM更新】

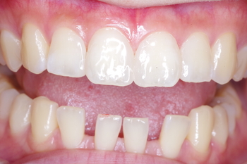
上下の前歯のすき間が目立つので、 笑ったり写真を撮る際に歯を見せないように気を使ってしまう、 という悩みを解決するために来院された患者さんです。
松田歯科医院のホームページでダイレクトボンディングを知って、 電車で2時間以上かかるところから来ていただいたのでびっくりしました。
なんとしても「歯の隙間をなくす」と決心されていたのです。
初めて来院された際は患者さんは高校生でしたので、 保護者の方としっかり相談していただくようにお願いしました。
上下の歯のすき間は6ヶ所あり、すべて直すと治療費がかなりかかるためです。
特に、下の前歯は歯が傾いており隙間も大きいので、 矯正治療が望ましいこともおつたえしました。
患者さんはご家族とよく相談されて、 今回は上の前歯のすき間だけをダイレクトボンディングで埋めることにされました。
真ん中の前歯のすき間だけでなく、 左右の1番目と2番めの歯の間にもすき間がありましたので 2回に分けて6ヶ所を埋める予定です。
目立つ上の前歯のすき間をなくすだけでも、印象はだいぶ変わりますね。
治療を始めた頃に患者さんは高校を卒業して新潟の学校に進学されたので、 通院しやすくなったのが幸いでした。
お家の方の期待に応えるように勉強もがんばってくださいね、 と声をかけたら明るく「ハイ 」と笑顔でお返事してくださって嬉しくなりました。
【治療期間】1週間 【通院回数】2回 【費用】237600円(ダイレクトボンディング6ヶ所)
《ダイレクトボンディング》のご説明
◎治療内容:歯に空いた穴や、となりの歯とのすき間にコンポジットレジン(強度の高いプラスチック)を接着して埋める治療です。
自費用コンポジットレジンとして、「グラディアダイレクト」「エステライト・アステリア」を松田歯科医院では使用しています。
◎費用:1ヶ所につき39600円となります。前歯4本で、合計6ヶ所を治療しました。
◎副作用:まれにコンポジットレジンあるいは接着剤にアレルギーを持つ方がいらっしゃいます。
◎リスク:素材がプラスチックですので金属やセラミックに比べて強度が低く、欠けたりすり減ることがあるのが欠点です。
また、吸水性がありますので着色することがあります。
前へ:すきっ歯が目立つので埋めたいです
次へ:ダイレクトボンディングとオールセラミックはどちらが良いのでしょうか?
【歯のすき間】の関連記事
2023年6月28日
折れた前歯をダイレクトボンディングで治す(新潟 ダイレクトボンディング)2023年3月25日
前歯のすき間を直したいです(新潟のダイレクトボンディング)2023年2月21日
前歯のすき間が黒く目立つのが気になります -新潟のダイレクトボンディング-2023年2月10日
治療後も前歯にすき間があります(新潟のダイレクトボンディング)2023年2月9日
前歯のすき間を埋める治療(ダイレクトボンディング)ブログ記事メニュー
- 臨時休診のお知らせ(西区の歯医者、歯科医|松田歯科医院)
- 歯ブラシを当てたときにツーンとしたら(西区の歯医者、歯科医|松田歯科医院)
- 施設基準等についてのご案内(西区の歯医者、歯科医|松田歯科医院)
- 子供の歯並びと食事の関係-歯科衛生士Kからのアドバイス(西区の歯医者、歯科医|松田歯科医院)
- 着色した歯をシーラントでむし歯予防(西区の歯医者、歯科医|松田歯科医院)
- 優しいハミガキの仕方は?(西区の歯医者、歯科医|松田歯科医院)
- あと少しデンタルケアを足せば後々の結果につながる(西区の歯医者、歯科医|松田歯科医院)
- 子どもと一緒に歯みがきしようとすると(西区の歯医者、歯科医|松田歯科医院)
- 歯を白くきれいにしたい(西区の歯医者、歯科医|松田歯科医院)
- 80歳になるまでに20本残したいなぁ(西区の歯医者、歯科医|松田歯科医院)





