【2023年2月12日 8:12 PM更新】

新潟市西区の松田歯科医院、院長の松田拓己です。
鏡を見たとき、前歯にチョークで書いたような白い模様があって気になったことはありませんか。それはホワイトスポットと呼ばれるものです

むし歯ではないけれど見た目が気になる。
でも、治療のために健康な歯を削るのは怖い。
そんな悩みをお持ちの方に向けて、当院で行っている歯を削らない治療「アイコン」についてご紹介します。
こんなお悩みはありませんか
まずは、あなたの症状が当院の治療に適しているか、チェックしてみてください。
-
前歯の表面に白い濁りや斑点がある
-
むし歯ではないと言われたけれど見た目が気になる
-
歯を削って被せ物をする治療には抵抗がある
-
ホワイトニングをしたら白い模様が逆に目立ってしまった
3つ以上当てはまる方は、当院の削らない治療アイコンが適しているかもしれません
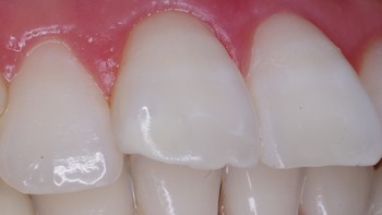
実際の治療例:前歯の白い濁りが気になる
今回ご紹介するのは、上の前歯の先端にある白い斑点が気になって来院された患者さんです
拝見すると、右の前歯には大きめの白い濁りがあり、左の前歯は点状のホワイトスポットが薄いまだら模様のようになっていました
![]()
この患者さんは、むし歯ではないので、できるだけ歯を傷つけない治療をご希望でした
そこで提案したのが、「アイコン」という治療法です。
「アイコン」は、ホワイトスポットの内部に特殊な薬を染み込ませて、エナメル質の透明感を回復させる方法です
治療当日の流れ(約120分)
治療は1本の処置で1時間程度かかりますので、2本の歯を治療する場合は約2時間となります。
具体的にどのようなことをするのか、当日のステップをご紹介します。
-
表面のクリーニング 薬をしっかり浸透させるために、まずは歯の表面の汚れを落とします。
-
薬剤の塗布 アイコンという特殊な樹脂を、ホワイトスポットの内部にじっくり浸透させます
。 -
光照射で固める 浸透した樹脂を光で固め、歯と一体化させます。
-
研磨と仕上げ 表面をツルツルに磨き上げて完了です。
ドリルで歯を削る音や振動はありませんので、リラックスして受けていただけます

治療結果と費用
治療後、気になっていた白い斑点やまだら模様はほとんど目立たなくなりました
【通院回数】1回 【費用】79200円(アイコン治療2歯、税込)
電話:025-234-1112
《アイコン》のご説明
◎治療内容
・歯を削らずにホワイトスポットを目立たなくします。
・むし歯予防の効果がある材料なので歯を痛める心配がありません。
・治療は1時間程度で終了します。
◎費用:1本の歯で39600円(税込)となります。今回は2歯なのでアイコンの料金は79200円でした。
◎副作用:まれにアレルギーを持つ方がいらっしゃいます。
◎リスク:吸水性があるので着色することがあります。
ホワイトスポットが深い、または黄色や茶色の着色はホワイトニングの併用が必要となる場合があります。
薬剤のみで対応しますので、効果に個人差があります。
歯の表面を溶かす薬を使用しますので、ホワイトスポットがある歯以外には付着しないように配慮する必要があります。
当院での施術は高校生以上に限らせていただきます。
よくあるご質問(正直にお答えします)
Q. どんな白いシミでも消えますか
A. ほとんどのケースで目立たなくなりますが、薬剤のみで対応するため効果には個人差があります
茶色く着色している場合は、ホワイトニングとの併用が必要となる場合があります
深すぎるシミについては「アイコン」のみでは対応が難しい場合もあります。
Q. 治療後に色は戻りませんか
A. 樹脂を浸透させるため、基本的に後戻りはありません。
ただし、吸水性があるため、長期間経過すると着色することがあります
Q. 未成年でも受けられますか
A. 申し訳ありませんが、当院での施術は高校生以上の方に限らせていただいております
Q. 副作用はありますか
A. まれにアレルギーをお持ちの方がいらっしゃいますので、事前の問診で確認させていただきます
まとめ
前歯の白い模様は、削らなくてもキレイにできる可能性があります。
松田歯科医院は、新潟市西区で歯を削らない治療を大切にしている歯科医院です
ホワイトスポットでお悩みの方は、ぜひ一度ご相談ください。
お問い合わせ 松田歯科医院 新潟県新潟市西区小針7-5-13
前へ:
次へ:前歯の白い模様が気になる(ホワイトスポット 新潟)
【歯 斑点 ホワイトスポット】の関連記事
2026年1月9日
ホワイトニングで歯の白い斑点が目立つ原因と治し方を解説(ホワイトスポット 新潟)2023年6月27日
歯が白くまだらになっていて(ホワイトスポット 新潟)2023年6月17日
歯の白い斑点が気になる(ホワイトスポットの治療)2023年4月29日
西区の松田歯科医院でホワイトスポットを治療できると聞いたので2023年4月23日
アイコンで歯のホワイトスポットを治すために新潟市西区の松田歯科医院に来ましたブログ記事メニュー
- 臨時休診のお知らせ(西区の歯医者、歯科医|松田歯科医院)
- ホワイトニングで歯の白い斑点が目立つ原因と治し方を解説(ホワイトスポット 新潟)
- 歯ブラシを当てたときにツーンとしたら(西区の歯医者、歯科医|松田歯科医院)
- 施設基準等についてのご案内(西区の歯医者、歯科医|松田歯科医院)
- 子供の歯並びと食事の関係-歯科衛生士Kからのアドバイス(西区の歯医者、歯科医|松田歯科医院)
- 着色した歯をシーラントでむし歯予防(西区の歯医者、歯科医|松田歯科医院)
- 優しいハミガキの仕方は?(西区の歯医者、歯科医|松田歯科医院)
- お肌のケアと歯のケアは同じ?西区の歯医者が教える「美と健康」のプロケア
- 子どもの歯みがきで悩んでます(西区の歯医者、歯科医|松田歯科医院)
- 歯を白くきれいにしたい(西区の歯医者、歯科医|松田歯科医院)






